Lasten murtumilla on yhteys luuston terveyteen
Mervi Mäyränpää
Lasten kyynärvarsimurtumat ovat lisääntyneet viimeisten vuosikymmenien aikana. Lasten ja nuorten D-vitamiinipitoisuudet ovat Suomessa suosituksia matalampia, ja tällä näyttäisi olevan yhteys luuston terveyteen.
Mervi Mäyränpään väitöskirjatyössä kartoitettiin lasten murtumien määrää ja kirjoa sekä tutkittiin tarkemmin toistuvia murtumia saaneiden lasten luuston terveyttä. Työ on osa Helsingin Lastenklinikalla tehtävää tutkimusta, jossa tutkitaan laaja-alaisesti terveiden, murtuman saaneiden ja pitkäaikaissairaiden lasten luuston terveyttä.
Murtumapaikat muuttuneet
Vuonna 2005 helsinkiläisillä 0–15-vuotiailla lapsilla todettiin 1396 murtumaa. Niistä 63% oli pojilla. Murtumien määrä lisääntyi lapsilla iän myötä. Niitä oli eniten kasvupyrähdyksen aikoihin, pojilla 13–14 vuoden ja tytöillä 10 vuoden iässä.
Murtumien ilmaantuvuus oli laskenut 18 %:lla vuodesta 1983. Merkittävimpänä syynä oli pienten käsi- ja jalkaterän alueen murtumien määrän väheneminen sekä 10–14 -vuotiaiden lasten kaikkien murtumien vähentyminen 30 %:lla. Tämä kuvastanee nykynuorison touhuamisen vähentymistä, onhan samanaikaisesti suomalaisten lasten ylipaino lisääntynyt ja urheiluharrastusten ulkopuolinen arkiliikunta vähentynyt.
Yksittäisenä ilmiönä tutkimuksessa nähtiin kyynär- ja olkavarsimurtumien lisääntyminen kolmanneksella samassa ajassa. Rannemurtumien yhteys alentuneeseen luuston mineraalitiheyteen on osoitettu muissakin tutkimuksissa niin aikuisilla kuin lapsilla. Jo yksittäinen murtuma voi olla merkki huonontuneesta luun laadusta. Toistuvat murtumat pienistä traumoista ja varsinkin nikamamurtumat ovat terveillä lapsilla harvinaisia.
Murtumalapsilla alentunut luuston terveys
Jatkotutkimuksessa selvitettiin 66 useita murtumia saaneen lapsen luuston terveyttä eri menetelmillä ja verrattiin tuloksia saman ikäisiin terveisiin lapsiin. Murtuma-alttiit lapset saivat terveitä lapsia vähemmän kalsiumia ravinnostaan. Kolmanneksella heistä saanti jäi suositeltua vähäisemmäksi.
Murtumia saaneet harrastivat keskimäärin vähemmän liikuntaa kuin vertailuryhmän lapset. Myös luustontiheyden mittauksessa murtumia saaneiden lasten arvot olivat selvästi matalammat. Paljon urheilevien lasten luustontiheydet olivat yleisesti ottaen hyviä. Vaikka urheilu altistaa vammoille, sen luustoa vahvistava vaikutus on kiistaton.
D-vitamiinilla on yhteys luustontiheyteen
Puolella murtumalapsista ja myös vertailuryhmän lapsista verestä mitattava D-vitamiinipitoisuus oli alle 50 nmol/L, joka on nykytiedon mukaan vähimmäistavoite luuston terveyden kannalta. Osa tutkituista käytti pientä D-vitamiinilisää (5 µg), mutta se ei yleensä riittänyt nostamaan veren D-vitamiinipitoisuutta suotuisalle tasolle. Matalilla pitoisuuksilla oli selvä yhteys matalampaan luuston tiheyteen molemmissa ryhmissä.
Varsinkin kouluikäisten lasten riittävä kalsiumin ja D-vitamiinin saanti tulisi turvata. Aikuisiän vahva luusto kasvatetaan jo lapsena.
Kirjoittaja:
Mervi Mäyränpää
LT, tutkija
HYKS Lastenklinikka
Väitöskirja ”Fractures in children: Epidemiology and associated bone health characteristics” on luettavissa http://ethesis.helsinki.fi –osoitteessa (väitös 25.5.2012)

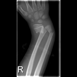
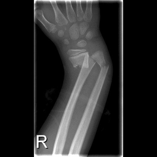
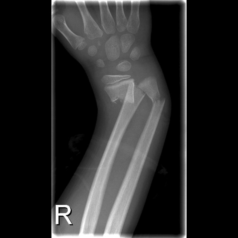
6-vuotiaan pojan rannemurtuma seurauksena reilun metrin putoamisesta. Kuva Mervi Mäyränpään arkisto.

LT Mervi Mäyränpää








